欢迎来到聚彩彩票
站群导航

长沙市教育局

直属单位

手机版
您的位置: 首页 >学科建设>生物教研组>学生风采>详细内容

学生风采

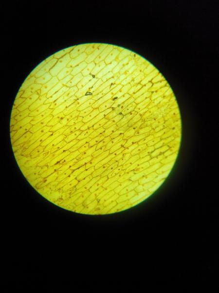
生物实验课堂学生作品——观察洋葱鳞片叶内表皮细胞

来源:生物教研组 发布时间:2020-07-21 18:07:05 浏览次数: 【字体:

分享到:
【打印正文】
×

用户登录